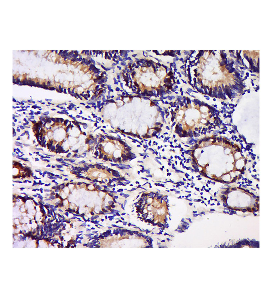
GDNF家族受体a-1抗体
目录号:bs-0201R
计量单位:PC
商品规格:100ul
分享商品:
无规格
这是用户近期浏览商品预览.
只要用户查看过一个商品这个片断就会显示.
只要用户查看过一个商品这个片断就会显示.